Fogszabályozás

Kezelések > Fogszabályozás

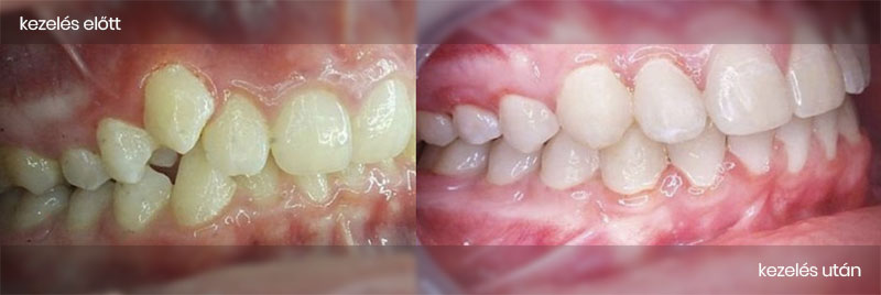
Mikor javasolt a fogszabályozó kezelés?

A szép,szabályos fogazatra az emberek többsége csak esztétikai előnyei miatt vágyik. Azonban fogszabályozó kezeléssel sok más későbbi probléma is megelőzhető, vagy ha már kialakult, ezek állapota nagymértékben javítható.

Ilyenek lehetnek:

  • egy rendellenesen záródó fogazat okozhat ízületi fájdalmakat
  • erősen torlódott fogak között a fogtisztítás sokkal nehezebben kivitelezhető, ezért a fogszuvasodási hajlam is megnő
  • a nem tökéletes tengelyállású fogak is okozhatnak fogágybetegséget

Fogszabályozó szakorvosunk mindig törekszik az archarmóniához ideálisan illeszkedő esztétikus fogazat és a tökéletes funkció kombinációjának megteremtésére.

Gyermekkori és serdülő fogszabályozás
A fogszabályozás szükségessége sok esetben már igen fiatal korban kiderül. Ebben az életszakaszban az állcsontok még növekszenek, formálódnak, ilyenkor elsősorban kivehető fogszabályozó készülékekkel tudjuk jó irányba befolyásolni fejlődésüket. Amennyiben a problémát rossz szokás- például ujjszopás- okozza, erről való leszoktatásban tudunk a szülő segítségére lenni. Serdülő korban eleinte még kivehető készülékeket, majd a maradó fogazat kialakulása után fix készülékeket alkalmazunk. Ezekkel a fogszabályozó készülékekkel átlagosan 1,5-2 év alatt el tudjuk érni a tervezett esztétikus eredményt még a tinédzser korszak elején, így a 14-15 éves gyermek már befejezett fogszabályozási kezeléssel nézhet a komplikált kamasz évek elé.

Felnőttkori fogszabályozás
Régebben a szülők nem fordítottak akkora odafigyelést gyermekük szabályos fogaira mint manapság, így több generáció nőtt fel rendellenes fogazattal. Felnőtt fejjel sem késő belevágni a fogszabályozási kezelésbe a vágyott esztétikai eredmény elérésének érdekében. A kisebb esztétikai problémáktól a nagyobb funkcionális eltérésekig, mindenre van megoldásunk. A fogszabályzás ilyenkor elsősorban fix, ragasztott készülékkel történik , amely készülhet fémből, vagy esztétikus fogszínű anyagokból. Amennyiben Ön idegenkedik a ragasztott fogszabályozóktól, rendelőnkben lehetősége van a legmodernebb , szinte teljesen észrevehetetlen fogszabályozó sínnel történő kezelésre is.

Láthatatlan, Bio Aligner fogszabáyozás
Ma már sok esetben lehetőség van komplex fogszabályozási kezeléseket is elvégezni láthatatlan fogszabályozó sínekkel, ezzel elkerülve a ragasztott készülékekkel járó kellemetlenségeket.

A láthatatlan fogszabályozás menete lépésről lépésre:

  • Az első konzultáció alkamával tapasztalt, fogszabályozó szakorvos kollégánk felméri, hogy az Ön esetében alkalmazható-e hatékonyan a láthatalan fogszabályozás. Ha igen, akkor megbecsüli, hogy körülbelül mennyi fogszabályozó sínre lesz szükség. Ennek konzultációs díja 5000 Ft.
  • Amennyiben ez Önnek megfelel egy nagy pontosságú intraorális felvételt készítünk a fogazatról, valamint a szükséges röntgen felvételek elkészülnek rendelőnkben.
  • Ez alapján digitálisan megtervezzük a kezelési tervet látványtervekkel, animációkkal, amit minden esetben egyeztetünk páciensünk elképzeléseivel. Ennek ára 65 000 Ft/állcsont.
  • Ezt követően 3D nyomtató segítségével legyártjuk a láthatatlan síneket, melyeket 2 hetente cserélni kell, a kívánt eredmény eléréséig. Egy sín ára 50 000 Ft.
  • A kezelés végeztével ismét egy intraorális szkennelés javasolt a Mosoly Trezor szolgáltatásunk keretében, mellyel megőrizhetjük az elért szép állapot digitális mintáját.

Miért jó ez Önnek?

  • A láthatalan fogszabályozás a mai legmodernebb technológiákat alkalmazza.
  • Ez jár a legkevesebb kellemetlenséggel.
  • Mi a láthatatlan fogszabályozást nem “csomagos” áron értékesítjük, így Önnek csak a ténylegesen szükséges síneket kell kifizetnie.
  • Nem egyszerre kell az összes sín árát rendezni. Általában egyszerre 2-3 sínt adunk át, így részletekben fizetheti ki a kezelés árát.
Kategória
Kezelés
Kezelés ára
Árlista kategória*